有病理的全身模体,X射线、CT和MR兼容的全身模体详细介绍:

有病理的全身模体是兼容X射线、CT和MR的培训产品。有病理的全身模体,X射线、CT训练用全身模体主要用于训练各种患者定位技术。通常由医学院和教学医院购买,用于培训放射学学生和其他医疗专业人员。

有病理的全身模体病理成像:

脑瘤

脑瘤


出血

皮下组织出血


肺肿瘤

肺肿瘤


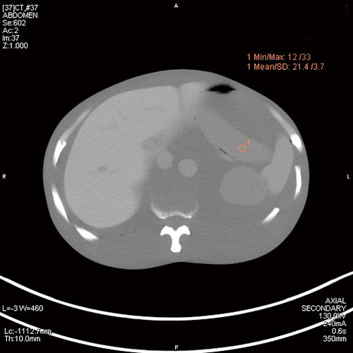
肝肿瘤

肝肿瘤


胰腺炎

胰腺炎


胆结石

胆结石


医学影像模体相关产品

现货推荐   当日发货

真骨全身模体

真骨全身模体可用于定位训练以及一般X射线训练,用于医学影像技术

更多
现货推荐   当日发货

M1牙科模体

M1牙科模体增强高对比度和低对比度分辨率,目前市场优选的增强型数

更多
现货推荐   当日发货

SPdl CR/DR图像质量测试模体

SPdl CR/DR图像质量测试模体用于从DR、CR到荧光设备等数字和常规

更多